Dr Elisabeth FEREDJ - Dentiste Paris 15
Cabinet dentaire spécialisé dans l'esthétique et traitements des gencives
ACCUEIL
LE CABINET
PLAN D'ACCÈS
URGENCES
VIDÉOS
FICHES CONSEILS
TRAITEMENTS RÉALISÉS AU CABINET
CONTACT
PRENDRE RDV EN LIGNE
Dr Elisabeth FEREDJ - Dentiste Paris 15
Cabinet dentaire spécialisé dans l'esthétique et traitements des gencives
77 avenue Emile Zola
75015
PARIS
+33 1 45 78 05 10
ACCUEIL
LE CABINET
PLAN D'ACCÈS
URGENCES
VIDÉOS
FICHES CONSEILS
TRAITEMENTS RÉALISÉS AU CABINET
CONTACT
PRENDRE RDV EN LIGNE
Blog - Page 4
Maxillaire all-on-6 et comblement de sinus
EN SAVOIR PLUS
Facettes
EN SAVOIR PLUS
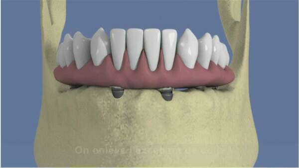
Fixation d’une prothèse par une barre sur 2 implants
EN SAVOIR PLUS
Allongement coronaire
EN SAVOIR PLUS
Mandibule complète et traitement implantaire pour un bridge fixe scellé
EN SAVOIR PLUS
Eclaircissement ambulatoire
EN SAVOIR PLUS
Affichage des articles 19-24 sur 217
‹
1
2
3
4
5
6
7
8
9
…
36
37
›
Rechercher dans le blog Blog
Informations pratiques
(7)
Itinéraires
(9)
L'équipement du cabinet dentaire
(4)
L'orthodontie
(7)
Les choix esthétiques
(15)
Les dents chez l'adulte
(6)
Les dents de l’enfance à l’adolescence
(15)
Les dents et la santé
(27)
Les gencives
(27)
Les implants
(21)
Les pathologies bucco-dentaires
(29)
Les prothèses
(36)
Omnipratique
(211)
Prendre soin des dents
(21)
Dr Elisabeth FEREDJ - Dentiste Paris 15
77 avenue Emile Zola
75015
PARIS
+33 1 45 78 05 10
Pour en savoir plus
Politique de confidentialité et charte cookie
Mentions légales
Conditions Générales Utilisation
Charte déontologique
Ordre national
Annuaires chirurgiens dentistes
Dentiste Paris 15 - Dr Elisabeth FEREDJ
77 avenue Emile Zola
75015
PARIS
+33 1 45 78 05 10
Rechercher :
Rechercher dans le blog Blog
Création par
Connexion
Vidéo en cours de lecture