Dr Elisabeth FEREDJ - Dentiste Paris 15
Cabinet dentaire spécialisé dans l'esthétique et traitements des gencives
Dr Elisabeth FEREDJ - Dentiste Paris 15
Cabinet dentaire spécialisé dans l'esthétique et traitements des gencives

77 avenue Emile Zola
75015 PARIS

Blog - Page 2

Les édentations

Les édentations

Les édentations (dents absentes) sont la conséquence d'extractions suite à des déchaussements, des fractures ou des infections.Ces dents absentes doivent impérativement être remplacées.

Comblement de sinus par voie latérale et implantation simultanée

Comblement de sinus par voie latérale et implantation simultanée

Le traitement de la parodontite par ultrasons

Le traitement de la parodontite par ultrasons

Le mouvement normal de l’articulation temporo-mandibulaire

Le mouvement normal de l’articulation temporo-mandibulaire

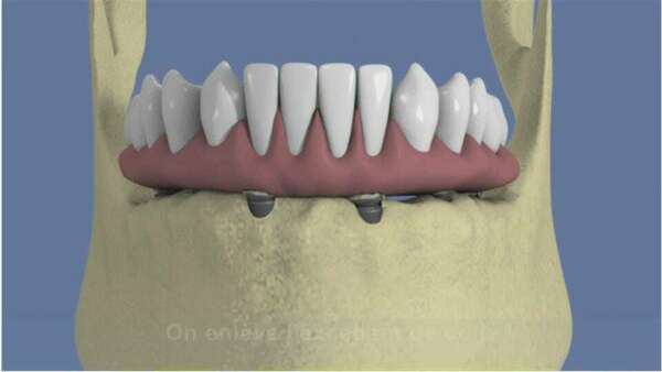
Mandibule complète et traitement implantaire pour un bridge fixe vissé

Mandibule complète et traitement implantaire pour un bridge fixe vissé

Blanchiment au fauteuil

Blanchiment au fauteuil

Affichage des articles 7-12 sur 217

Création par Webdentiste

Connexion